SP Dental Supplies introduceert nieuwe anaxpink gingiva composiet
Tandvleeskleurig composiet voor natuurlijke restauratie op werkstukken of rechtstreeks in de mond

13 april 2016 - SP Dental Supplies - leverancier voor de tandtechnische en tandheelkundige branche in de Benelux introduceert de nieuwe anaxpink gingiva composiet in het assortiment van inmiddels meer dan 10.000 producten. 
Anaxdent staat bekend om hun unieke producten met hoge kwaliteit. Alle producten en diensten worden altijd gerealiseerd op basis van een fundamentele behoefte: de absolute individualiteit.
Anaxgum
Anaxgum is een roze gekleurde composiet in verschillende mengbare tinten voor de esthetische reconstructie van het tandvlees op werkstukken. Anaxgum is ontwikkeld in samenwerking met Dr. Christian Coachman om de verschillende tinten van het natuurlijke tandvlees zo nauwkeurig mogelijk te benaderen. Het kan door de tandtechnicus worden aangebracht op het werkstuk in het tandtechnisch laboratorium of rechtstreeks in de mond van de patiënt door de tandarts. Anaxgum maakt het eenvoudig mogelijk om een natuurlijke uitstraling van ‘roze esthetiek’ te creëren. ‘Roze esthetiek’ is even belangrijk als de recreatie van een natuurlijke tandstructuur (‘witte esthetiek’) om tot een perfecte tandheelkundige restauratie te komen.

Composiet van Anaxgum kan worden gebruikt voor de reconstructie van tandvlees van de patiënt op implantaatgedragen suprastructuren, kronen en bruggen of voor karakterisering van uitneembare volledige en gedeeltelijke prothesen.
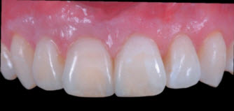
Anaxpink
Composiet voor de chairside restauratie van teruggetrokken tandvlees door de tandarts rechtstreeks in de mond, met eveneens de verschillende tinten roze om een levensechte restauratie te kunnen creëren.
Cursus
Om deze wijze van composiet restauraties volledig te kunnen benutten biedt Anaxdent verschillende cursussen aan waarin u door de ontwikkelaar van dit systeem alle tips & tricks kunt leren. Deze cursussen zullen worden aangemeld bij het Kwaliteitsregister Tandtechniek.
Kunt u niet vinden wat u zoekt? Gebruik de zoekmachine.
januari/februari 2022
In dit nummer onder meer aandacht voor de casus van de winnaar van de CANDULOR KunstZahnWerk-wedstrijd 2021 met het Dynamisch occlusieconcept, een artikel over het kleurverloop van natuurlijke tanden en de intelligente nabootsing ervan, Innovatieve ontwikkeling: digitale protheses, het belang van VGT Portal Veiligheidsinformatiebladen, het inspelen op de toenemende vraag tandtechnici met de BOL-opleiding, Mogen facturen met bsn-nummer en geboortedatum per email verzonden worden?, de Dentale Agenda van het Kwaliteitsregister Tandtechniek en meer.
Verspreiding in februari 2022.
Heeft u nieuws voor het volgende nummer of een interessante casus? Neem dan contact op met de redactie.