Interaction Sakura: Blend-in concept uitgebreid
Elephants keramiek voor zirkoonoxide onderstructuren is nu ook beschikbaar in het blend-in concept.

17 februari 2011 – Elephants keramiek voor zirkoonoxide onderstructuren, Interaction® Sakura, is nu ook beschikbaar in het blend-in concept. In de bijbehorende nieuwe verpakking vindt u voor alle indicaties een oplossing. Ook wanneer het een mix aan indicaties betreft zoals een kroon naast veneers.
In één keer goed
Interaction Sakura is geschikt voor zirkoonoxide onderstructuren die een TEC-waarde hebben van 10,0 tot 10,6 µm/m.K (25 °C - 500 °C). Met deze keramiek vervaardigt u op eenvoudige wijze kronen en bruggen die esthetisch in één keer goed zijn.
Voor de volgende indicaties wordt Interaction Sakura ingezet:
|
In combinatie met Cercon/Compartis CAM |
|
Conventionele technieken |
|
Alle indicaties met dezelfde keramiek
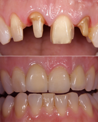
Een mix van indicaties met hetzelfde materiaal verzorgen, het is mogelijk met Interaction
Sakura. Het gevolg is een esthetisch topresultaat. Kronen naast veneers* in een frontrestauratie, gemaakt met dezelfde keramiek. Dit is ook posterior mogelijk door bruggen naast keramische inlays te plaatsen. Alles vervaardigd met hetzelfde materiaal en de voordelen van de blend-in dynamics.

* Fotomateriaal: Norbert Pack.
Op onderstaande zirkoonoxide onderstructuren is Interaction® Sakura getest:
- Cercon Base/Disc en Compartis Zirconium oxide (DeguDent)
- NobelProcera Zirconia (Nobel Biocare)
- DC Zirkon® (DCS)
- VITA In-Ceram® 2000 YZ CUBES for inLab® (VITA)
- Lava™ Zirconia (3M Espe)
- BioZyram® Zirconia (Oratio B.V.)
- Schick Zirconia (Schick Dental)
- Zirkonzahn® (Enrico Steger)
Kunt u niet vinden wat u zoekt? Gebruik de zoekmachine.
januari/februari 2022
In dit nummer onder meer aandacht voor de casus van de winnaar van de CANDULOR KunstZahnWerk-wedstrijd 2021 met het Dynamisch occlusieconcept, een artikel over het kleurverloop van natuurlijke tanden en de intelligente nabootsing ervan, Innovatieve ontwikkeling: digitale protheses, het belang van VGT Portal Veiligheidsinformatiebladen, het inspelen op de toenemende vraag tandtechnici met de BOL-opleiding, Mogen facturen met bsn-nummer en geboortedatum per email verzonden worden?, de Dentale Agenda van het Kwaliteitsregister Tandtechniek en meer.
Verspreiding in februari 2022.
Heeft u nieuws voor het volgende nummer of een interessante casus? Neem dan contact op met de redactie.